Regeneração de Papilas-II

  • Última modificação do post:21 de outubro de 2025
  • Tempo de leitura:1 minuto de leitura
  • Comentários do post:0 comentário
No momento, você está visualizando Regeneração de Papilas-II

*Clique nas imagens para ampliar

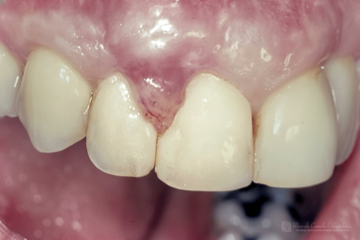
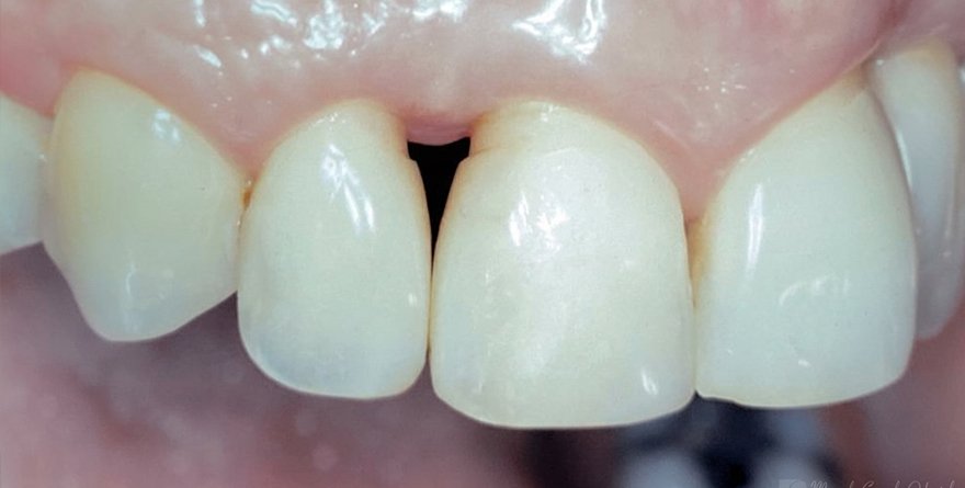
Para casos com boa qualidade de mucosa queratinizada, um envelope vestibular recebe a porção desepitelizada do enxerto pediculado.

Deixe um comentário