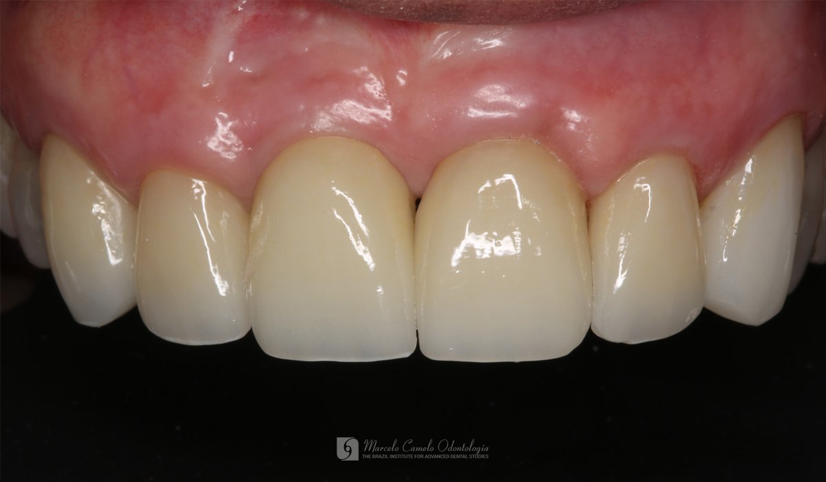
RESTAURAÇÃO SIMULTÂNEA: Óssea, gengival, após fratura da raiz dentária Última modificação do post:22 de outubro de 2025 Tempo de leitura:1 minuto de leitura Comentários do post:0 comentário * Clique nas imagens para ampliar Finalização com coroas de cerâmica.Acompanhamento de um ano. Tags: #implantes, #marcelocameloodontologia, #oralhealth, #periodontia, #periodontite, #periodontitis, #procedimentosodotonologicos, #restauraçãosimultânea, #tratamentosdentarios Leia mais artigos Post anteriorA REVOLUÇÃO EM TRATAMENTOS DE PERIODONTITE E PERIOIMPLANTES Próximo postFINALMENTE, PODEMOS SABER O QUE CAUSA A DOENÇA DE ALZHEIMER E COMO PARÁ-LA Você também pode gostar PROSPECTIVE 1-Year Study of Immediately Loaded Implants: 8-Patient Case Series Report 22 de setembro de 2025 Regeneração de Papilas-I 15 de outubro de 2025 CONTATO ENTRE OS DENTES DAS ARCADAS SUPERIOR E INFERIOR 22 de setembro de 2025 Deixe um comentário Cancelar respostaComentárioDigite seu nome ou nome de usuário para comentar Digite seu endereço de e-mail para comentar Digite o URL do seu site (opcional) Salvar meus dados neste navegador para a próxima vez que eu comentar.
PROSPECTIVE 1-Year Study of Immediately Loaded Implants: 8-Patient Case Series Report 22 de setembro de 2025