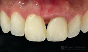
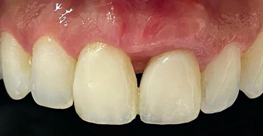
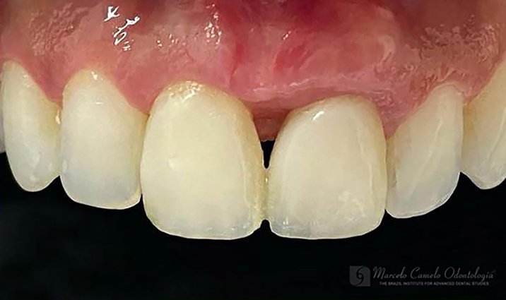
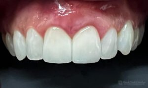
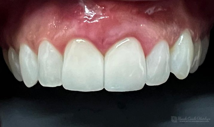
Regeneração de Papilas-III Última modificação do post:21 de outubro de 2025 Tempo de leitura:1 minuto de leitura Comentários do post:0 comentário *Clique nas imagens para ampliar Laminados de cerâmica, podem ajudar as técnicas de reconstrução de papilas, com enxerto pediculado. Você também pode gostar Regeneração de Papilas-I 15 de outubro de 2025 RESTAURAÇÃO SIMULTÂNEA: Óssea, gengival, após fratura da raiz dentária 22 de setembro de 2025 CONTATO ENTRE OS DENTES DAS ARCADAS SUPERIOR E INFERIOR 22 de setembro de 2025 Deixe um comentário Cancelar respostaComentárioDigite seu nome ou nome de usuário para comentar Digite seu endereço de e-mail para comentar Digite o URL do seu site (opcional) Salvar meus dados neste navegador para a próxima vez que eu comentar.