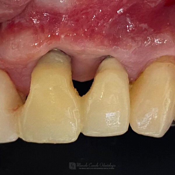
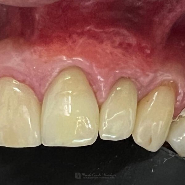
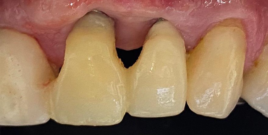
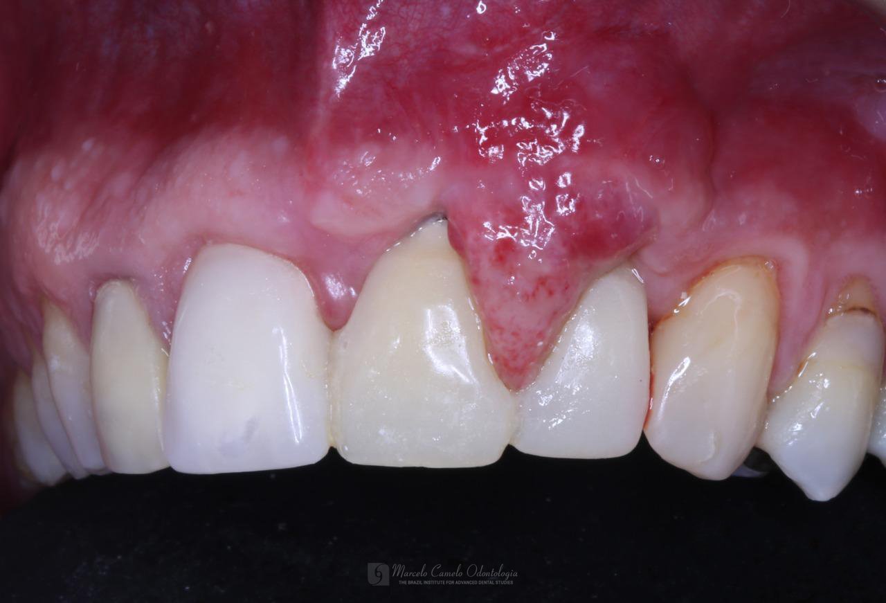
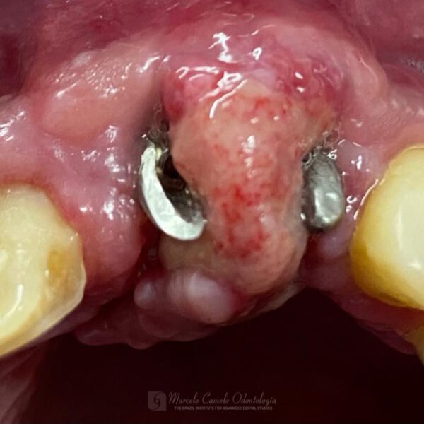
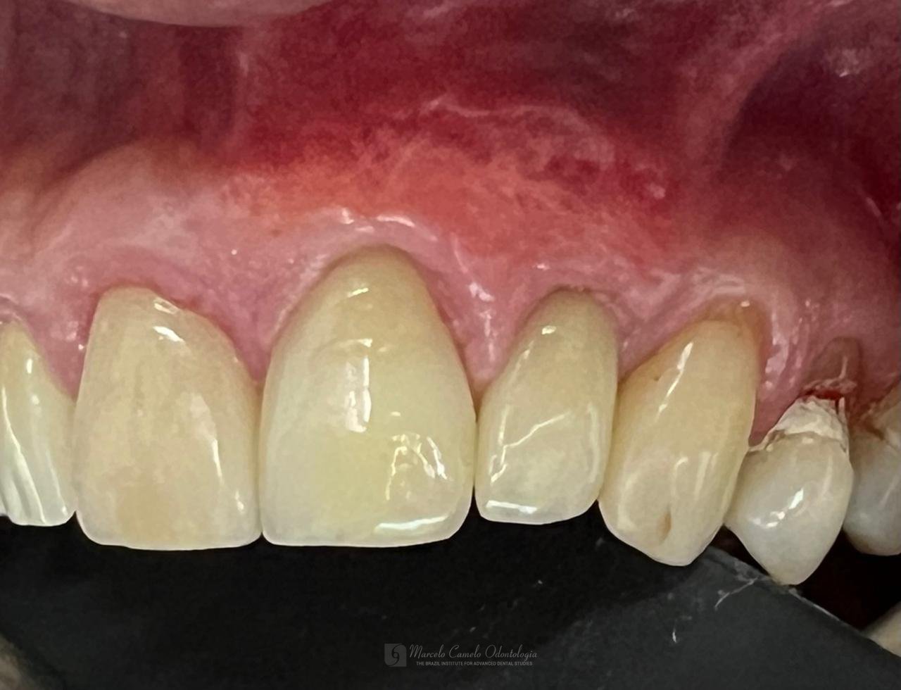
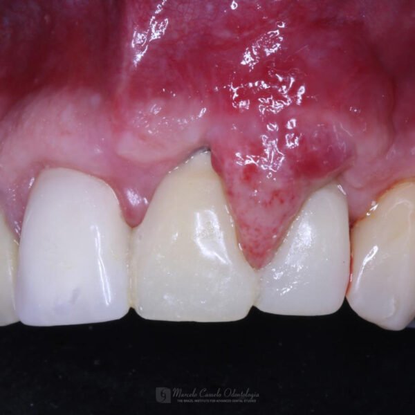
Regeneração de Papilas-I Última modificação do post:21 de outubro de 2025 Tempo de leitura:1 minuto de leitura Comentários do post:0 comentário *Clique nas imagens para ampliar Para grandes perdas de papila, é necessário um enxerto volumoso; os pediculados conferem um melhor suprimento sanguíneo. Você também pode gostar A REVOLUÇÃO EM TRATAMENTOS DE PERIODONTITE E PERIOIMPLANTES 22 de setembro de 2025 CONTATO ENTRE OS DENTES DAS ARCADAS SUPERIOR E INFERIOR 22 de setembro de 2025 Regeneração de Papilas-III 15 de outubro de 2025 Deixe um comentário Cancelar respostaComentárioDigite seu nome ou nome de usuário para comentar Digite seu endereço de e-mail para comentar Digite o URL do seu site (opcional) Salvar meus dados neste navegador para a próxima vez que eu comentar.